연희동치과 신경치료 후 염증이 재발했더라도
치아가 아프거나 충치가 심해져
신경치료를 받아보신 적 있나요?
신경치료는 치아 내부의 신경을
제거하기 때문에 통증을 느낄수가 없는데요.
하지만 신경치료한 치아가 또다시 아프거나,
힘들게 치료를 받았음에도 잇몸 밖으로
볼록한 고름 주머니가 생긴 경우,
흔들림이 느껴지는 경우라면
염증이 다시 재발했을 가능성이 높아요.
이런 경우 너무 속상하지만,
재 신경치료나 발치 후
임플란트를 통해 치료를 해주어야 해요.
오늘은 연희동치과 연세에이스치과에서
당일임플란트를 진행하신
환자분의 실제 치료 케이스를
소개해 드리도록 할게요.🤗
위 환자분께서는 왼쪽 아래 어금니가
흔들려 치과에 내원했다고 하셨는데요.
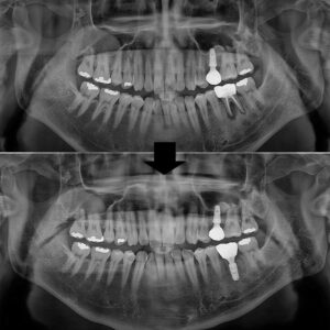
파노라마 사진을 살펴보면
유독 치아 뿌리쪽이 까맣게
보이는 부분을 보실 수 있는데요.
이는 염증으로 인해
잇몸뼈가 녹아 있는 모습이에요. 😥
이미 신경치료가 되어 있는 치아였지만
또 다시 염증이 발생하여
잇몸뼈를 상당히 녹인 상태였어요.
염증으로 인한 잇몸뼈의 소실로
치아의 흔들림이 있는 현재 상태에서는
치아를 살려 사용하기 어렵다고 판단되었어요.👨⚕️
그래서 발치 후 당일임플란트를
식립하기로 하였고,
잇몸뼈가 녹아 비어있는 부분은
뼈이식을 함께 진행하기로 하였어요.❗

연희동치과 연세에이스에서는 디지털 네비게이션
방식을 사용하고 있어요.
이는 3D 컴퓨터 모의 시술을 통해
개인 맞춤형 가이드 (유도 장치)를
장착하여 환자 1:1 맞춤형 시스템으로 진행되어
정밀한 진단과 분석이 가능해요.
또한 수술 전 모의 시뮬레이션을 통해
신경 위치와 혈관, 골조직 등을
사전에 미리 파악하여 식립 위치가
결정되기 때문에 발생할 수 있는 문제를
미리 확인할 수 있어 오차 범위를 줄일 수 있겠죠?
필요한 만큼만 잇몸을 절개하므로
통증과 출혈, 부기 등이 현저하게
감소하는 것은 물론,❗
회복이 빠르다는 장점을 가지고 있어
당뇨나 고혈압 등 전신질환을 앓고 있는
분들까지 안정적으로 진행 가능해요.👏👏

우선 발치 후 염증을 제거하고
빈 공간에는 인공뼈를 이식하여
임플란트의 고정력을 높여 주었어요.👍
저희 치과에서는 자연골과 뛰어난
상호작용과 높은 성공률을
보이는 과학적으로 안정성이 입증된
스위스 잇몸뼈 이식재를 사용하고 있어요.
또한 골유착이 우수한 초신수성
임플란트도 함께 사용하고 있는데요❗
현존 표면 기술 중 골 유착 성능이
뛰어난 임플란트를 사용하여
감염 확률은 낮추고 혈액의 흡수성은
높일 수 있다는 장점이 있어요.
이로 인해 환자분의 케이스처럼 뼈이식이
함께 진행되는 경우 더 우수한 골 유착을
기대해볼 수 있답니다.👍
이후 3D-CT와 구강 스캐너 등을 활용하여
모의 시술 과정을 걸쳐 임플란트의
위치와 기울기 등 선정하였으며,
그에 따라 네비게이션 가이드를
제작하여 오차 없이 예상했던 곳에
픽스처를 식립하였어요.🦷

식립 전, 후 사진을 비교해 볼게요.
뼈이식이 된 부분은 발치 전과 달리
하얗게 보이는 모습을 볼 수 있어요.
약 3개월 정도 잇몸뼈와
임플란트가 유착되는 기간을
가지기로 하였고 추후 확인 결과,
임플란트와 잇몸뼈가 단단히 유착된
것으로 보여 보철물을 제작했어요.

마무리 후 사진이에요.
환자분께서는 신경치료 후 크라운을 씌웠을 때는
치아가 힘을 제대로 받지 못하는 느낌이었다 하셨는데
당일임플란트 후에는 불편함도 없고
음식물도 잘 끼이지 않아
너무 편안하게 사용중이라고 하셨어요.👏
환자분께 당일임플란트 관리법과
정기적인 내원의 중요성을
설명해 드리고 치료를 종결했어요.
연희동치과 본 원에서는
다양한 임플란트 수술 경험을 가지고 계신
보건복지부인증 치 과보철과 전 문 의,
보건복지부인증 통합치의학과 전 문 의
더블보드 대표 원장님께서
직접 임플란트를 진행하고 계시므로
걱정 없이 내원하실 수 있어요.
치료를 받았던 치아, 또는 임플란트 후에도
문제는 생길 수 있어요.😭
그렇기 때문에 정기적인 검진은
필수이며, 문제가 생겼다면
미루지 말고 즉시 연희동치과 연세에이스치과로
내원하여 상태를 살펴보시길 바래요!
당사자의 동의하에 게시하였습니다.
*치료 사진은 모두 본원에서 치료한 환자분의 사진입니다.
*치료 사진은 모두 동일인의 사진이며,
동일조건에서 촬영하였습니다.
*개인의 차이에 따라 시술 및 수술 후 부작용이 발생할 수 있으며,
의료진과 충분한 상담을 받으시기 바랍니다.

