남가좌동치과 앞니에 생긴 흰 반점이 보기 싫어요

남가좌동치과

 

교정치료는 치아 배열과 교합을 바로잡아
기능과 심미를 함께 개선하는 치료이지만,
장치가 부착된 기간 동안
구강 위생 관리가 충분히 이루어지지 않으면
예상치 못한 변화가 나타나기도 합니다.

 

그중 하나가 바로
앞니 표면에 생기는 흰 반점인데요.

 

이는 단순한 착색이 아니라,
치아 표면의 탈회가 진행되면서
법랑질이 부분적으로 약해진 상태를 의미합니다.

 

특히 교정 브라켓 주변은
음식물과 치태가 쉽게 쌓이기 때문에
관리가 소홀해질 경우
이러한 변화가 눈에 띄게
드러날 수 있습니다.

 

웃을 때 가장 먼저 보이는 앞니에
흰 반점이 생기면 심미적인 고민이
커질 수밖에 없는데요.

 

최근에는 이러한 초기 탈회 부위를
삭제 없이 개선하는 방법으로
아이콘 레진 치료가 활용되고 있으며,
치아를 보존하면서 자연스러운 색감 회복을
도와주는 치료로 알려져 있습니다.

 

오늘은 남가좌동치과 연세에이스에서
교정치료 중 생긴 흰 반점을
아이콘 레진으로 개선한 사례를
소개해 드리도록 하겠습니다.

 

남가좌동치과

 

26.01.09

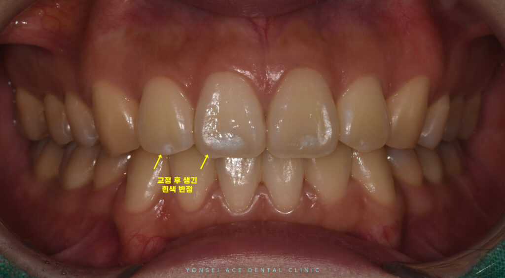
위 환자분께서는
교정 치료 중 생긴 앞니의 흰 반점이
웃거나 말할 때 마다 보이는게 싫으시다며
본원에 내원해 주셨는데요.

 

현재는 교정 치료가
완료된 상태였습니다.

 

남가좌동치과

 

26.01.09

교정을 진행하면서 브라켓이 붙어 있었을 때는
장치에 가려져 잘 인지하지 못했던 부분이
브라켓이 제거되면서 선명하게 드러났습니다.

 

충치로 진행된 단계는 아니었지만
심미적으로 부담을 느끼실 수 있는 위치였는데요.

 

남가좌동치과

 

26.01.09

밝기를 낮춰서 확인해 보니,
일반 조명에서 보일 때보다
흰 반점의 경계가 더욱 뚜렷하게 확인되었습니다.

 

이는 탈회 부위가 정상 법랑질과
빛을 반사하는 정도가 다르기 때문으로,
조명을 줄이거나 수분을 제거한 상태에서는
색 차이가 한층 선명하게 드러날 수 있답니다.

 

그래서 남가좌동치과 연세에이스에서는
치아 삭제 없이 개선이 가능한
아이콘 레진 치료를 계획하였습니다.

 

남가좌동치과

 

그렇다면 아이콘 레진이란 무엇일까요~?

 

아이콘 레진은 치아 표면을 깎지 않고
초기 탈회로 인해 생긴 흰 반점을
완화하는 침투형 치료 방법입니다.

 

흰 반점은 법랑질 내부에
미세한 구멍이 형성되면서
빛의 반사와 굴절 차이가 발생해
하얗게 보이는 현상입니다.

 

아이콘 레진은 이러한 공극 안으로
아주 묽은 성질의 레진을 스며들게 하여
내부를 채워주는 방식으로 진행되는데요.

 

공간이 채워지면 주변 정상 치아와의
빛 반사 차이가 줄어들어
색이 한층 자연스럽게 보이게 됩니다.

 

즉, 치아를 삭제해 가리기보다는
원인을 보완해 시각적인 대비를 낮추는
보존적 접근의 치료라고 이해하시면 됩니다.

 

남가좌동치과 남가좌동치과

 

26.01.09

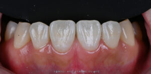
이렇게 아이콘 레진을 통해
앞니에 도드라져 보이던
흰 반점의 대비가 완화되었고,
주변 치아와의 색 차이도
한층 자연스럽게 정리되었습니다.

 

치아를 삭제하지 않은 채
탈회 부위 내부를 보완하는 방식으로 진행되었기 때문에
부담을 줄이면서 심미적인 개선을 기대할 수 있었으며,
환자분께서도 거울을 보실 때
이질감이 줄어들었다며 만족해 주셨습니다.

 

남가좌동치과

 

26.02.05

치료 마무리 후,
한 달 뒤 다시 내원하셔서
경과를 확인해 보았습니다.

 

시술 직후 완화되었던 흰 반점 부위는
시간이 지난 뒤에도 큰 색 변화 없이
안정적으로 유지되고 있었으며,
주변 치아와의 조화도
자연스러운 상태였는데요.

 

특별한 착색이나 탈락 소견은 보이지 않았고,
환자분께서도 일상생활 중
불편함 없이 지내고 계신다고
말씀해 주셨습니다.

 

이처럼 아이콘 레진 치료 후에는
일정 기간 경과 관찰을 통해
색감 유지와 표면 상태를
점검하는 과정이 중요합니다.

 

남가좌동치과

 

이처럼 남가좌동치과 연세에이스치과는
구강 상태에 맞추어 세심하게 진단하고,
치아를 무리하게 삭제하기보다는
가능한 한 보존적인 방법을 우선적으로 고려하여
자연스러운 개선을 목표로 진료하고 있습니다.

 

작은 변화처럼 보일 수 있는 부분도
환자분의 만족도에 큰 영향을 줄 수 있는 만큼,
치료 전후의 차이를 꼼꼼히 살피며
안정적인 결과를 위해 노력하고 있습니다.

 

그리고 평일 내원이 어려운 분들을 위해
월요일과 목요일에는 야간진료를 운영하여
퇴근 후에도 비교적 여유 있게
진료를 받아보실 수 있도록 돕고 있습니다.

 

위 사례처럼 앞니에 생긴 흰 반점으로 인해
심미적인 고민을 겪고 계신다면
남가좌동치과 연세에이스에서
정밀한 진단을 받아보시는게 어떨까요~?

 

*모든 증례 사진은 의료법 제23조, 제 56조에 의거하여,
당사자의 동의하에 게시하였습니다.
*치료 사진은 모두 본원에서 치료한 환자분의 사진입니다.
*치료 사진은 모두 동일인의 사진이며,
동일조건에서 촬영하였습니다.
*개인의 차이에 따라 시술 및 수술 후 부작용이 발생할 수 있으며,
의료진과 충분한 상담을 받으시기 바랍니다.

 







문의 전화

02-6248-2828

네이버 예약

네이버 예약