서대문구치과 치아가 어두워 고민이에요

서대문구치과

 

최근에는 심미적인 부분이 중요시 되면서
외모에 신경쓰는 분들이 많은데요.

 

그중에서도 하얀 치아는 사람을
더 밝아 보이게 해주며
긍정적인 인상을 줄 수 있어요. 😁

 

뿐만 아니라 결혼식이나 면접 등
중요한 자리를 앞두고 있다면 더욱
치아 미백에 관심을 가질 수 밖에 없어요.

간혹 치아 미백을 셀프로 하시는
분들도 볼 수 있지만
즉각적인 효과를 보기 어렵거나
부작용을 겪을 수 있는데요.

 

셀프 미백 용품들과는 다르게 치과에서
사용하는 미백 치료제에는
약 10~20% 정도의 고농도 과산화수소가
함유되어 있어 더 효과적인 미백 효과
얻을 수 있고, 전문 의료진이 진행하기 때문에
안심하고 치료받으실 수 있어요.

 

 

치아미백은 비교적 간단하며 안정적인
심미 치료 중 하나로, 말 그대로 치아를 밝고
하얗게 만들어주는 치료 방법인데요.

 

치아의 삭제가 필요 없고, 미백제의 주 성분인
과산화수소가 분해되면서 나오는 활성 산소가
치아 표면의 법랑질과 그 안의 상아질로 침투해
착색된 물질을 표백하는 원리에요.👨‍⚕️

 

 

오늘은 서대문구치과 연세에이스에서 치아미백을
진행하신 환자분을 소개해 드릴게요.🔍

 

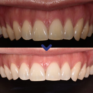
위 환자분께서는 한달 후 결혼식이 있는데
어두운 치아로 인해 고민하시다,
치아 미백을 받기 위해 본 원에
내원해 주셨는데요.

 

사진이 어둡게 나오긴 했지만 환자분의 치료 전
사진을 보시면 치아 색이 살짝 어두운 편이셨어요.

 

치아 색은 사람마다 얼굴 톤과 입술과 잇몸 색 등
각기 다르기 때문에 객관적인 판단이 어려워요.🤔

 

이를 객관적으로 판단하기 위해
쉐이드 가이드를 확인하게 되며,
이를 바탕으로 치아가 얼마나 하얘졌는지
객관적으로 확인할 수 있어요.

 

 

본 원에서는 식품의약처에서 허가받은 미백제만을
사용하여 치아 미백을 진행하고 있어요.

 

또한 자외선이 아닌 가시광선을 출력하는
LED를 광원으로 이용하여 타 미백 장비에 비해
30% 이상의 효과를 높여줍니다.

 

사람마다 미백의 효과는 다르기 때문에
본 원에서는 치아의 상태를 확인하며
적절한 횟수와 강도로 치료를 진행하고 있어요.

 

환자분께서는 A3.5의 치아 색을 가지고 계셨는데
일단 A1을 목표로 2번의 치아 미백을
진행해 보기로 하였어요.🦷

 

치아 미백 과정

치면 세마
🔽
잇몸 보호 약재 도포
🔽
미백 치료 약재 치.아에 도포
🔽
특수 광선 조사

 

치아미백 후 사진이에요.

 

확연히 밝아진 치아를 볼 수 있죠?

 

다행히 2번 만에 환자분께서 원하는
치아색이 나왔고 시림 증상도 없다고 하셨어요.

 

환자분께서는 치아를 보시곤 매우 만족해 하셨고
추후 치아가 다시 어두워지면 또
받으러 오겠다고 하셨어요.

 

집에 돌아가시기 전 미백 후 주의사항을 알려드리고
기분 좋게 치료를 마무리 했어요.

 

 

치아 미백 후 주의사항

 

1️⃣착색이 될만한 음식물 섭취 자제하기
– 미백 치료 후 48시간 동안은 사용한
미백제의 효과가 극대화되는 시간이에요.

 

이 시간 동안에는 착색이 되기 쉬운 음식물을
섭취하면 치아 표면의 미세한 구멍을 통해 색이
침착되기 쉬워 미백 효과가 떨어지게 되요.

 

때문에 치아 미백 치료 후에는 카레나 커피,

탄산 음료 등 착색이 되기 쉬운 음식물의
섭취는 피하는 것이 좋아요.

 

2️⃣금연하기
– 담배 속에 든 타르를 포함한 여러 유해
물질들은 건강을 해칠 뿐 아니라
치아를 착색시키기도 하는데요.

 

연기를 흡입하게 되면서 이 물질들이 구강
안으로 들어오며 치아를 착색 시킬 수 있어요.

 

그렇게 되면 치아가 착색되어
미백 효과가 떨어지기 때문에
가능한 금연을 하는 것이 좋아요.

 

3️⃣불소 함유량이 낮은 치약 사용하기
– 시중의 치약들에는 다양한 양의
불소가 함유된 치약이 많은데요.

 

그중에서도 고농도의 불소는 치아 미백

치료제의 작용을 중화시켜 미백 치료의 효과를
감소시킬 수 있어요.

 

그렇기 때문에 가능한 최소 3주~4주 동안은
고농도 불소치약보다는 미백 치약을 사용하여
미백 효과를 지속시키는 것이 좋아요.

 

4️⃣자극적인 음식 섭취 자제하기
– 치아 미백을 하게 되면 미백제가 흡수되면서
신경에 자극을 주어 이 시림이 발생할 수 있는데요.

 

이때 너무 차갑거나 뜨거운음식, 또는
자극적인 음식의 섭취는 피해주는 것이 좋아요.

 

일반적인 경우 시간이 경과함에 따라
시린 증상이 완화되지만 시간이 지나도
완화되지 않고 계속해서 이 시림이
느껴지는 경우 꼭 치과에 내원하시어
진료를 받아보아야 해요.

 

 

치아 하나만 밝아졌을 뿐인데 콤플렉스도 해결하고
자신감도 되찾을 수 있는데요.

 

어두운 치아로 고민중이시라면 서대문구치과
연세에이스에 내원하여 환한 미소를
되찾으시길 바라요:)