북가좌동치과 임플란트를 계획중이시라면

나이가 들면서 신체를 비롯한
모든 기능들이 노화가 진행되는데요,
치아도 마찬가지로 노화가 진행되면서
잇몸이 내려가고 치아가 상실되는
경우가 늘어나게 됩니다.
치아가 상실된 경우 많은 분들께서
임플란트를 통해 치아의 기능을 회복하게 되는데요,
오늘은 북가좌동치과 본 원에 임플란트를 하러
내원해 주신 환자분을 소개해 드리겠습니다.

환자분께서는 남아있는 잔존 치아들이
치주질환과 염증으로 인해 잇몸뼈가
상당히 소실된 상태였으며 전체적인
치아 흔들림이 있는 상태로 내원해주셨습니다.
살릴 수 있는 치아가 없는 상태라 전악 발치를
진행하였으며 발치와 함께
염증 제거도 진행하였습니다.

북가좌동치과 본 원에서는 임플란트를
식립하기 전 정밀한 분석을 통해
진단을 한 후 식립을 진행하고 있는데요.
디지털 모의 수술을 바탕으로 얻어진 결과에 맞추어
개인의 구강에 맞춰 제작된 가이드와
같은 장치를 제작한 후 픽스쳐를
식립하는 순으로 치료가 진행되고 있습니다.
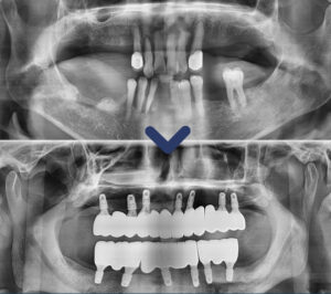
아래 술 후 사진을 보게 되면 상악 7개,
하악 6개의 임플란트를 식립하여
브릿지 형식으로 제작해 상악 12개,
하악 12개의 치아 기능을 회복하였습니다.

임플란트도 일반 보철물과 마찬가지로
브릿지 제작이 가능한데요.
개인의 잇몸뼈 상태와 골질, 신경의 위치,
교합 및 저작에 관한 부분을 충분히
고려하여 진행되어야 합니다.
임플란트 브릿지란 지지대의 역할을 해주는
양쪽으로 식립하여 다리처럼 가운대를
비운 상태로 연결하여 씌우는 방식입니다.
여러 크라운이 연결되어 제작되므로
심미적인 부분과 기능적인 부분
모두 갖추는 것이 중요한데요.
북가좌동치과 본 원에서는 디지털 장비를
이용한 구강 스캔과 3D 프린터를 이용하여
보철물을 제작해 개인에 맞는 보철물 제작이 가능합니다.

술 후 사진을 보면 상악동이 아래쪽에
위치하고 계신 것을 볼 수 있는데요,
상악동은 사람마다 위치와 크기가
모두 다르기 때문에 필요한 경우에만 시행됩니다.
환자분의 경우 왼쪽 잇몸뼈의 두께가 얇고
상악동이 아래쪽에 위치하고 있어
픽스쳐가 식립 될 공간이 부족하여
상악동 거상술을 시행하였습니다.
상악동거상술은 상악동에 손상이 가지 않도록
막을 들어 올려 빈공간에 뼈를 이식하여
픽스쳐의 식립 공간을 확보해주는 것인데요.
상악동에 손상이 가게 되면 감염이 될 수
있으므로 임상경험이 많으며 숙련된
의료진에게 받는 것이 중요합니다.

또한 전체임플란트는 치과 진료 중
난이도가 높은 수술이기 때문에 치료를
진행할 때도 어떤 의료진이 상주하고 있는지,
사후 관리 시스템이 잘 되어있는지
꼼꼼히 따져 보는 것이 중요한데요.
북가좌동치과 본 원에서는 보건복지부인증
치과보철과 전문의, 보건복지부인증 통합치의학과
전문의 더블 보드를 가지고 계신 대표원장님께서
직접 진료와 관리를 시행하고 있습니다.
치아가 상실된 상태로 오랜 시간 지나게 되면
인접 치아들이 쓰러지거나 정출하여
치료의 과정이 더욱 복잡해질 수 있기 때문에
되도록 조기에 치료받으시는 것이 좋으며,
임플란트도 자연치아와 마찬가지로
꼼꼼히 관리하여 오랫동안 튼튼히 사용하시길 바랍니다.:)
*모든 증례 사진은 의료법 제23조, 제 56조에 의거하여,
당사자의 동의하에 게시하였습니다.
*치료 사진은 모두 본원에서 치료한 환자분의 사진입니다.
*치료 사진은 모두 동일인의 사진이며,
동일조건에서 촬영하였습니다.
*개인의 차이에 따라 시술 및 수술 후 부작용이 발생할 수 있으며,
의료진과 충분한 상담을 받으시기 바랍니다.