보철과전문의 과거 치료한 크라운이 깨졌어요.

보철과전문의

 

외모는 남녀노소를 불문하고 상대방에게

좋은 인상을 줄 수 있는 한 가지 수단으로써

최근에는 경쟁력으로 작용하기도 해요.

그러나 치열이 삐뚤고 누런 경우 등

치아에 다양한 문제가 있다면

깔끔하고 긍정적인 이미지를

전달하기가 어려울 수 있답니다.

갑작스러운 사고로 앞니가 부러진다면

곤란한 상황에 처할 수 있는데요.

앞니가 부러졌을 때는 손상된 부위와

증상에 따라 치료 방법이 달라지게 돼요.

만약 증상이 없고 손상된 부위가 작다면,

간단히 레진으로 치료할 수 있어요.

레진 치료는 다른 방법들에 비해 간단하여

비용 부담도 적고 당일 치료 가능하며,

자연 치아와 거의 동일한 외형을

재현할 수 있어요.

그러나 레진은 강도가 약해 앞니로

음식을 베어 먹으면 떨어질 가능성이

높기 때문에 주의가 필요하답니다.

 

손상된 부위가 크지만 통증이 없는 경우

라미네이트나 크라운으로 치료할 수 있는데요.

 

그러나 만일 통증이 있다면

신경 치료 후 크라운으로 치료를 해야 해요.

 

오늘은 앞니 치료 방법 중 하나인

심미 보철에 대해 설명해 드리도록 할게요.👨‍⚕️

 

심미보철치아의 기능적 회복뿐만 아니라

미적 개선을 목표로 하는 보철치료를 말해요.

 

이는 치아의 모양, 색상, 배열 등을

자연스럽고 아름답게 복원하는 데 중점을 두는데요.

 

크게 재료와 시술 방식에 따라

올세라믹 크라운라미네이트로 나눌 수 있어요.

 

올세라믹과 라미네이트는 치아 삭제 후

덮어씌우는 방식으로 모두 빠른 시간 내에

가지런한 치열를 되찾을 수 있어요. 🙌

 

차이점이라면 라미네이트는 치아 표면을

최소한으로 다듬은 후 그 위에

얇은 세라믹 판을 덧씌우는 치료라면

 

올세라믹 크라운은 라미네이트와 달리

치아 전체를 골고루 삭제한 후 올세라믹으로

본인의 치아 모양에 맞게 제작하여

치아를 완전히 덮어씌우는 방법이랍니다.

올세라믹은 금속성이 없어 빛이 자연스럽게

투과하기 때문에 자연치아와 거의 흡사하다는

장점이 있어 앞니 보철물에도 적합하며,

생체 친화적 재료이기 때문에 알레르기 반응을

유발하지 않아 남녀노소 누구나 치료 받을 수 있어요.

 

올세라믹 크라운은 라미네이트에 비해 치료 범위가 넓어

 

💫빠른 시간 내에 치아 배열을 바꾸고 싶은 경우,

💫신경치료 후 치아가 변색된 경우,

💫치아가 크게 부러지거나 빠진 경우,

💫치아의 크기가 너무 크거나 혹은 너무 작은 경우,

💫기존 금속 보철물 사용 후 인접 치아가

변색되어 색깔이 차이나는 경우,

💫덧니의 불규칙한 치열을 치.아교.정 없이

빠르게 개선하고 싶은 경우 등에

적합한 치료 방법이에요.

 

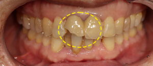
해당 환자분께서는 기존 앞니 보철 파절 선이 있으며,

옆의 치아도 깨짐이 있는 상태였어요. 😭

 

기존 보철물은 과거 보철치료 시

많이 사용했던 PFM 이란 보철로,

 

시간이 많이 경과할 경우 잇몸에

까맣게 비치는 것이 단점인 재료였답니다.

 

이를 개선하기 위해 연세에이스치과에서는

앞니에 올세라믹 크라운 치.료를 진행하였고

앞니 옆의 치아는 손상의 범위가 좁은 편이라

레진을 이용한 심미수복으로 결정을 하였어요.

레진 또한 자연치아색과 유사하며

잘 부착되고 이질감도 없어서

자연치와 유사하게 앞니를 회복할 수 있답니다.

 

치료가 마무리 된 후 다행히 환자분께서는

모양과 색깔 모두 만족하셨고 별다른

큰 증상이 없다고 하셨어요.

 

보철물을 부착하고 난 다음 오랜 시간이 지나

평균 수명을 넘겨 10년 이상 사용했다면

자연스레 나타나기도 하므로

정기적인 구강검진을 통해 미리 상태를

확인해 보는 것이 좋아요.

 

보철물은 영구적이지 않기 때문에

꼼꼼하고 청결한 관리가 중요해요.

 

보철물의 오랜 사용을 위해서는

식후마다 양치질은 물론,

칫솔모가 닿지 않는 부분은 치실,

치간칫솔을 사용하여 관리하는 것이 좋고

더불어 정기적으로 치과에 내원하여

상태를 점검해 보시길 바래요.

올세라믹 크라운치료와 레진 치료는

심미적인 부분이 강조되는 치료이기 때문에

치료와 더불어 미용적인 효과를

기대하신다면 이를 전공한

보철과전문의에게

치료를 받는 것이 좋답니다.👍

 

연세에이스치과는

보건복지부 인증 보철과전문의,

보건복지부인증 통합치의학과 전문의

더블 보더를 소지하고 계신 김철민 대표원장님께서

직접 1:1 맞춤 치료를 진행하고 계세요.

 

더불어 디지털 장비가 잘 구축되어

있는지도 확인해야 해요.

 

보철과전문의가 있는 연세에이스치과는

3D CT와 파노라마 촬영을 통해

환자의 상태를 파악하고 구강 스캐너로

임상정보를 체득하여 보다 알맞은

치료를 진행하고 있어요.

 

치과에서 사용하는 저선량 3D CT는

일반 CT보다 방사선량이 적기 때문에

임산부들도 사용이 가능하며

구강 스캐너는 단 한 번의 촬영으로

환자의 구강 내 상황을 모두 파악할 수 있고

이를 전산화하여 3차원 이미지로 구현,

환자분들에게 알맞은 보철물을

제작 및 식립할 수 있도록 해드리고 있어요.

 

미세하게 금이 갔다고 하더라도

오랜 시간 동안 방치를 하게 된다면,

파절이 되거나 뿌리 쪽으로 내려가

결국엔 발치에 다다를 수 있으므로

음식물 섭취에 있어서 불편함이 생길 뿐만 아니라

치아의 배열이 흐트러지고 부정교합,

턱관절 장애, 편두통으로 증상이 이어질 수

있기에 실금이 의심되거나 파절이 있다면

빠른 시일 내에 치과를 내원하시어

올바른 치료를 진행하시는 것을 권유해 드려요.

 

치아 실금을 예방하기 위한 쉬운 방법은

단단하고 질긴 음식의 섭취 빈도를 줄이는 것이며,

이를 갈거나 악무는 악습관이 있다면

마우스피스나 스플린트 등을 사용하여

치아에 무리가 가지 않도록 해주어야 해요.

 

또한 스트레스를 받게 되면 무의식중에

치아에 힘이 가해질 수 있기 때문에

충분한 휴식과 적절한 운동으로

스트레스를 조절해주어야 해요.

 

무엇보다 중요한 것은 정기적인 검진으로

조기에 실금을 발견해 치료 받는 것이며,

증상이 일시적이라고 안일하게

넘기지 않아야 해요.

 

본 원에서는 바쁜 직장인분들과 학생분들을 위해

매주 월요일, 목요일에는 오후 8시 30분까지

야간진료하오니 치아 파절 또는 치아에 대한

콤플렉스가 있으시다면 보철과전문의가 있는

연세에이스치과에 내원하여

상담받아보시길 바랍니다 🙂

 

 




문의 전화

02-6248-2828

네이버 예약

네이버 예약