남가좌동치과 자연스러운 앞니 최소삭제로!

현대 사회에서 외모에 대한 관심이 증가하면서,
많은 사람들이 상대방에게 깔끔한 인상을
주기 위해 더 많은 노력을 기울이고 있어요. 🦷
그러나 노란색이나 변색된 치아를 가진 사람들은
이미지를 개선하기 위해 라미네이트와 같은
심미치료에 관심을 가지는 경우가 있는데요.
세라믹으로 제작된 얇은 보철물을 치아에
부착하는 라미네이트는 치아의 겉 표면인
법랑질에서부터 0.5m에서 0.3m정도를
깎아 낸 다음 수복하게 돼요.
라미네이트를 권장 드리는 경우
✅가지런한 치아라인을 원하시는 분
✅다른 치아에 비해 유독 크거나 작은 치아 크기
✅깨지거나 금이 간 치아
✅예쁘지 않거나 기형적 치아 모양 등
✅치아미백으로도 해결이 어려운 심한 변색치아
✅틀어지거나 벌어진 치아

라미네이트의 장점
✔️약 1주일이면 완성되는 빠른 시술
✔️자연치와 거의 유사한 외형으로 제작되어 티가 거의 나지 않음
✔️원하는 디자인의 치아 제작
✔️치아교정과 영구적인 미백 효과
✔️변형 변색 걱정 없는 높은 강도와 내구성
✔️다른 보철치료와 비교했을 때, 현저히 적은 치아 삭제량
치아교정처럼 라미네이트는 오랜 비용과
시간을 들이지 않으면서도 가지런한 앞니를
새하얗고 빠르게 만들 수 있다는 것이 큰 장점이지만❗
과도하게 치아를 삭제하거나 무리한 시술을 진행할 경우
이 시림과 통증 등의 부작용이 생길 수 있으므로,
임상 경험이 많은 의료진의 정확한 진단과 시술이 중요해요.👨⚕️
오늘은 남가좌동치과 연세에이스치과에서
라미네이트를 진행하신
환자분의 실제 치료 케이스를
소개해 드리도록 할게요.😁

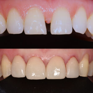
위 환자분께서는 앞니가 벌어져 늘
스트레스라고 하셨는데요.😥
실제로 윗쪽 두 앞니 사이로
공간이 넓고 잇몸도 살짝 부어있는 상태였어요.
내원 전 레진으로 앞니가 치료되어 있었으나,
얼마 안가 변색도 생기고 떨어져서
이번에는 레진이 아닌 라미네이트로
치료하시길 원하셨어요.🦷
먼저 치료 전, 부어있던 잇몸을
가라앉히기 위해 스케일링을 진행하였어요.
케이스에 따라서 치아를 삭제하지 않고
진행되는 케이스도 있지만,
환자분의 경우 보철물과
치아의 접착성을 높이기 위해
치아의 표면을 최소로 삭제하고
라미네이트를 제작했어요.👏
이때 자연치아는 한번 삭제가 진행되면
이를 되돌릴 수 없기 때문에
신중한 결정이 필요해요.❗

라미네이트가 보급화되면서,
수많은 곳에서 라미네이트를 진행하는 곳을
쉽게 보실 수 있죠?
그러나 저렴한 가격만을 중요시하기보다는,
의료진의 실력, 결과, 보철물 제작 과정 등을
면밀하게 살펴보셔야 해요.
남가좌동치과 본 원에서는 다양한 라미네이트 경험을 가지고 계신
보건복지부인증 치 과보철과 전문의,
보건복지부인증 통합치의학과 전문의
더블보드 대표 원장님께서
직접 모든 진료과정을 진행하고 계시므로
걱정 없이 내원하실 수 있어요 🙂
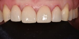
환자분께서는 너무 자연스럽고
자연치아 같은 앞니의 모습을 보고
매우 만족해 하셨으며,
이제 웃거나 대화할 때
입을 가리지 않아도 될것 같다며
감사의 인사를 전해주셨어요.

라미네이트 후에는 주의사항을
잘 지켜주셔야 해요.📢
앞니를 이용하여 단단단 음식을
베어먹는다던지 깨무는 행동은 피해주셔야 해요.
또한 외부 충격에 의해 파절될 위험이
있으므로 수저를 깨문다던지,
외상을 당하지 않도록 조심해야 하며,
이를 간다던지 악 무는 습관이
있다면 미리 습관을 고친 후
치료 받는 것이 좋아요.
또한 정기적인 검진으로
라미네이트의 상태를 확인해 보는 것이
오랫동안 사용할 수 있는 방법이라
할 수 있답니다.^^
앞니에 콤플렉스가 있다면
더이상 숨기지 말고 본 원에
내원해 주시길 바래요😁