남가좌동치과 발치 후 즉시 임플란트가 가능한!

남가좌동치과

 

치아의 상태가 좋지않아,
또는 잇몸에 염증이 생겨
치아를 살릴 수 없어 발치를 진행해야 한다는
청천벽력 같은 말을 듣게 된다면
누구나 당황스러울 수 밖에 없는데요. 😭

 

특히 어금니가 아닌 앞니라면
더욱 막막하기 마련이에요..

이럴 경우 보통 임플란트를 생각하게 되지만
오랜 기간이 걸리고 치아가 없는 상태로
지내야 하기 때문에 사회생활 중이신 분이라면
상대를 마주하기에 있어 문제가
발생할 수 밖에 없어요.

 

이때는 발치 즉시 임플란트를 고려해볼 수 있어요❗

 

🔍 발치 즉시 임플란트란?
말 그대로 치아를 뽑고난 후 잇몸이
아물 때까지 기다리는 시간을 기다릴 필요 없이
임플란트를 바로 식립하여 당일에 식립부터
임시치아까지 가능한 방법이에요.

 

이로 인해 치료 기간을 단축시킬 수 있으며,
잇몸 뼈가 흡수되지 않고 그대로 유지할 수 있어요. 👍

 

또한 통증을 줄일 수 있고,

시술 후 만족도를 높일 수 있다는 장점이 있는데요.

 

하지만 환자분의 치주 상태에 따라
발치 즉시 임플란트가 어려운 경우도
있기 때문에 정밀한 진단을 통해
👨‍⚕️의료진과 충분한 상담을 한 후 진행할 수 있어요.

 

 

오늘은 남가좌동치과 연세에이스치과에서
앞니 발치 즉시 임플란트를 진행하신
환자분의 실제 치료 케이스를
소개해 드리도록 할게요. 🤗

 

위 환자분은 30대의 여성분으로
과거 두개의 앞니가 연결된
브릿지를 사용하고 계셨는데요.

 

앞니로 사과를 베어먹다가
크라운이 빠져서 내원해 주셨어요.

 

왼쪽 앞니의 치아 내부에는 깊은
이차 우식이 발생하여 보존이 어려운 상태였고,

 

다행히 두 치아중 오른쪽 앞니는 치아 내부의 상태가
괜찮아 재 크라운 치료를 진행하고
한 치아만 발치 후 임플란트를 진행하기로 했어요.

 

환자분께서는 당장 내일 회사에 출근해야하는데
어떻게 해야하냐며 막막해 하셨는데요.

다행히 염증이 심해 발치를 한 케이스가 아니라
잔존 치조골 양이 양호하여 발치 즉시 임플란트 후
두 치아 모두 임시치아를 제작해 드리기로 하였어요.

 

 

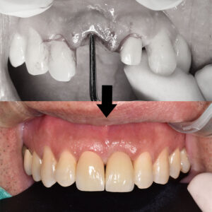
발치 후 비어있는 공간에 임플란트를 식립하였고,
추후 잇몸이 꺼져 보이지 않도록
부족한 부분에는 뼈이식을 추가로 진행하였어요.

 

저희 치과에서 사용하는 뼈이식 재료는
자연골과 뛰어난 상호작용과 높은 성공률을
보이는 과학적으로 안정성이 입증
스위스 잇몸뼈 이식재를 사용하고 있어요.

 

또한 골유착이 우수한 초신수성
임플란트도 함께 사용하고 있는데요❗

 

현존 표면 기술 중 골 유착 성능이
뛰어난 임플란트를 사용하여
감염 확률은 낮추고 혈액의 흡수성은
높일 수 있다는 장점이 있어요.

 

이로 인해 환자분의 경우처럼 뼈이식이
함께 진행되는 경우 더 우수한 골 유착을
기대해볼 수 있답니다.👍

 

 

임플란트를 식립하고 지혈한 후,
임시치아까지 들어간 모습이에요.👏

 

옆에 재 크라운 치료를 진행할 치아도
함께 임시치아를 만들어 드렸는데요.

 

말 그대로 임시로 사용하는 치아지만
자연스럽게 제작되어 환자분께서도
만족하셨답니다😁

 

이제 이상태로 앞니 임플란트와
잇몸뼈가 단단히 유착되길 기다리게 되며,
약 3개월 후 최종 보철물을 제작했어요.

 

 

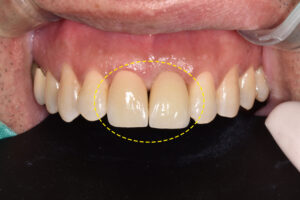
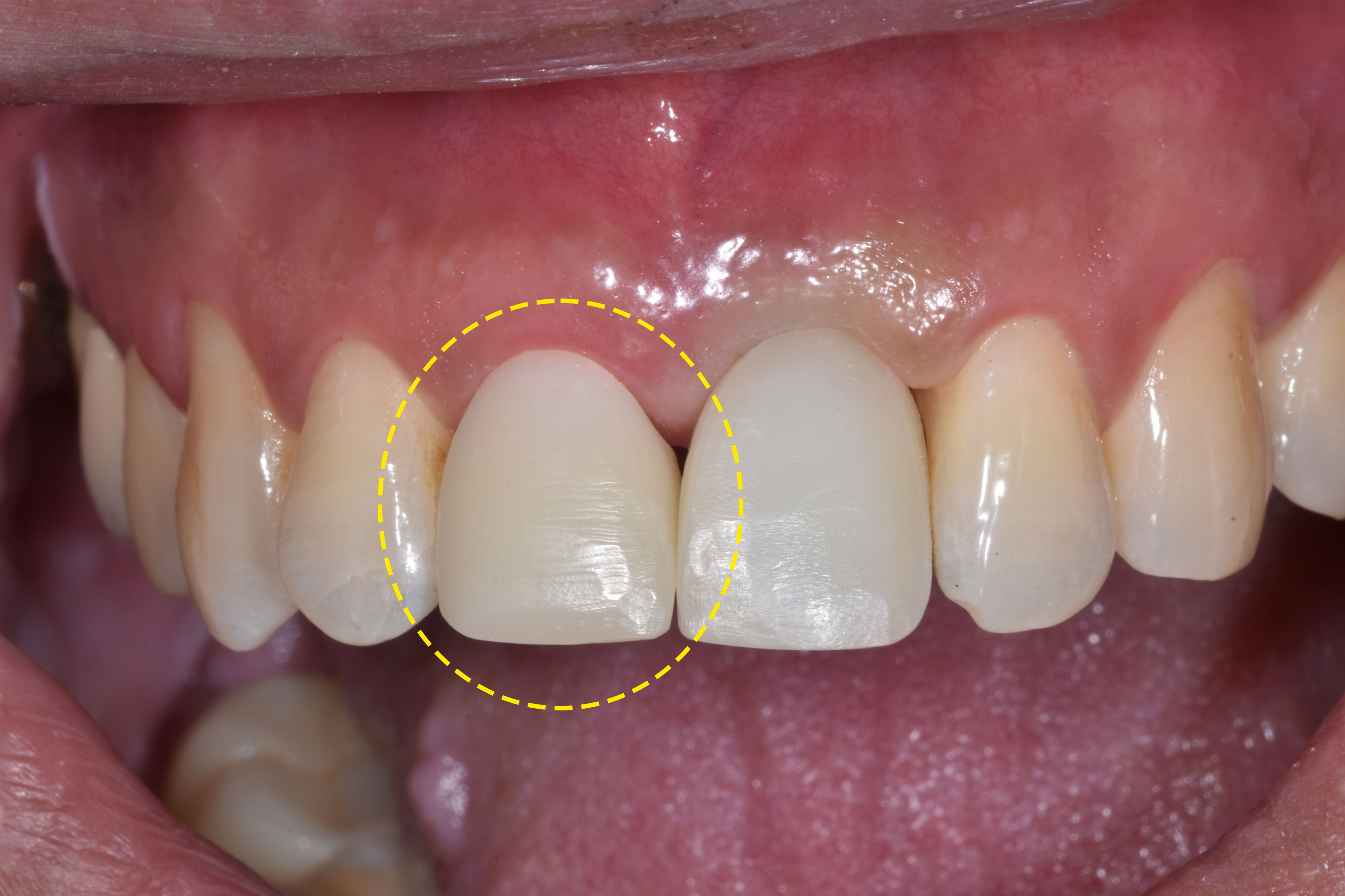
두 치아 모두 최종 보철물이 들어가고
치료가 마무리 되었어요.🦷

 

앞니 치료는 기능적으로도 중요하지만
심미적인 부분 역시 빼놓을 수 없는데요.

 

환자분께서는 당일 발치부터 식립, 임시치아까지
번거롭게 시간 내서 내원하지 않아도
한 번에 할 수 있을지 모르셨다며,

 

아무도 당일에 치아를 빼고 치료한 지 몰랐을 정도로
임시치아부터 본 보철물까지 심미적이라 매우 만족한다고
하시며 감사의 인사를 전해주셨어요.

 

 

남가좌동치과 본 원에서는 다양한 임플란트 수술 경험을 가지고 계신
보건복지부인증 치 과보철과 전 문 의,
보건복지부인증 통합치의학과 전 문 의
더블보드 대표 원장님께서
직접 임플란트를 진행하고 계시므로
걱정 없이 내원하실 수 있어요 🙂

 

발치 즉시 임플란트는 장점도 많지만,
치료 속도에만 집중하는 것이 아닌
개인의 구강 상태에 따라 케이스가 선별되어야 해요.

 

특히 상태가 좋지 않은 상태에서 진행했을 시
더 큰 문제가 발생할 수 있기 때문에
치과를 선택하실 때 꼼꼼히 살펴보시길 바라며,

 

앞니 임플란트를 고민중이시라면 남가좌동치과

연세에이스로 내원해 주시길 바래요 😀




문의 전화

02-6248-2828

네이버 예약

네이버 예약