남가좌동치과 매복 사랑니도 걱정없이

사랑니로 인한 불편감으로 치과를 찾는
대부분의 환자분들께서는
“무서운데 꼭 사랑니를 빼야하나요?”
라고 물어보시곤 해요.
만일 사랑니가 다른 어금니들처럼
정상적으로 맹출하고 구강 내에 문제를
일으키지 않는다면 지금 당장
발치를 권해드리지는 않아요.
그러나 사랑니는 이미 다른 영구치들이
맹출한 후 뒤늦게 자라기 때문에 악궁이 작아
자랄 공간이 부족할 경우가 많은데요.
이럴 경우 수평으로 누워 자라거나
매복되어 있는 경우가 많아요.😭

비정상적으로 맹출한 사랑니는 여러 문제를
일으킬 가능성이 높은데요.
앞에 위치하고 있는 치아와의 사이로
음식물 찌꺼기와 이물질이 쉽게 끼게 되지만
제거가 어려워 관리가 제대로 되지 못하면서
충치를 비롯한 치주질환, 구취 등
각종 구강질환을 유발할 수 있어요.
그 뿐만 아니라 앞쪽 치아의 뿌리를
밀면서 맹출할 경우
치근을 흡수시킬 수 있고 이로 인해
치아를 보존하기 힘들게 되거나
인접한 치아를 밀어 치열이 변형되면서
안면 비대칭이 나타날 수도 있어요..
잇몸 밖으로 맹출하지 않고 매복되어 있는
사랑니도 문제가 될 수 있는데요.
만일 턱뼈 안쪽에서 낭종이 발생할 경우
인접한 치조골을 소실시킬 수 있으므로
추후 발생할 문제를 예방하기 위해서라도
발치해 주는 것이 좋아요.👍
오늘은 사랑니발치를 위해 남가좌동치과 연세에이스에
내원해 주신 환자분들을 소개해 드릴게요👨⚕️

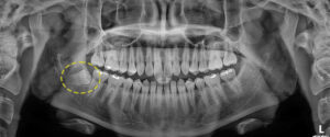
먼저 첫 번째 소개해 드릴 환자분은
다행히 하악 우측에만 사랑니를
가지고 계셨는데요.
잇몸 안쪽이 간헐적으로 부어서
본 원에 내원해 주셨어요.
육안으로 보기에도 잇몸이 부어있던 상태라
정확한 판단을 위해 파노라마와
CT 촬영을 해보았어요.
남가좌동치과 연세에이스에서는 정밀하고 안정적인
진행을 위해 다양한 디지털 장비를 사용하여
신경관의 위치, 안면 골격,
치아 뿌리의 휨 정도 등 육안으로 판단이 어려운
해부학적인 구조물까지 면밀하게 파악하여
그 결과를 토대로 환자분과 상담을 통해
계획을 수립하고 있어요.🔍
환자분의 경우 수평 매복 되어 발치 난이도는
높았지만 다행히 신경관과 맞물려 있는
상태는 아니였어요.

발치를 위해 잇몸 절개를 한 후
치아를 쪼개서 발치를 진행하였으며,
잔존 치근이나 부작용 없이 깔끔하게 발치된
모습을 보실 수 있어요.👏

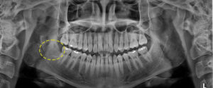
두 번째 환자분을 소개해 드릴께요.
위 환자분은 상악 좌측을 제외한
모든 곳에 사랑니를 가지고 계셨는데요.
파노라마 사진을 보시면 하악 좌측 사랑니는
치아가 수평 매복 되어 있고,
하악 우측 사랑니는 신경관을 물고
위치해 있는 것처럼 보였어요.
첫 번째 환자분에 비해 난이도가 더 높아보이죠?
CT 촬영 결과 다행히 신경관과 가까이
위치해있긴 하지만, 신경관을 물고 있는
상태는 아니라 발치가 가능했으며
신경관을 건드리지 않도록
주의가 필요했어요.
왼쪽 먼저 발치한 후 잇몸이 아물고 나면
반대쪽 상, 하악을 발치하기로 했으며,
마찬가지로 양쪽 모두 잇몸을 절개한 후
치아를 쪼개어 발치를 진행했어요.

발치 후 파노라마 사진을 보시면
깔끔하게 발치된 모습을 보실 수 있어요.👀
환자분께서도 마취가 풀린 후에도
큰 붓기도 없고 통증도 없었다며
만족해 하셨어요.😁

마지막으로 소개해 드릴 환자분은
상, 하, 좌, 우 4개의 사랑니를 모두
가지고 계신 분이었는데요.
교정을 끝내고 사랑니로 인해
추후 치열이 변형될 수 있어
예방 차 사랑니발치를 하러 내원해 주셨어요.
사랑니들 중 특히 하악 우측 사랑니는
완전 수평 매복 되어 있고, 신경관과도
매우 가까우며 치아의 뿌리가
항아리 모양처럼 휘어져 발치의 난이도가
매우 높은 편이었는데요..
사랑니를 발치할 때 기구나 누르는 힘으로 인해
하치조신경에 자극이 가해지면 지혈 문제나
감각 이상 등의 부작용을 초래할 수 있기에
구강에 대한 이해도가 높은 의료진이
발치를 진행하는 것이 무엇보다 중요해요❗

우측 상,하악 먼저 발치를 진행하기로 하였으며,
다행히 인접한 치아나 신경관에 손상 없이
홍은동사랑니발치를 진행하였어요.👍
약 2주 후 왼쪽 상, 하악 발치를 진행하였고
오른쪽에 비해 수월하게 발치되었어요.

앞서 말씀 드렸듯이, 사랑니의 안정적이고
편안한 사랑니발치를 위해 무엇보다 중요한 것은
의료진의 실력인데요.
남가좌동치과 본 원에서는
풍부한 발치 경험을 가지고 계신
보건복지부인증 치과보철과 전문의,
보건복지부인증 통합치의학과 전문의
더블보드 대표 원장님께서
직접 발치를 진행하고 계시므로
걱정 없이 내원하실 수 있어요~
사랑니로 인해 더 큰 문제가 발생하기 전
미리 치과에 방문하여 알맞은 시기에
발치를 진행하시길 바라요 🙂
*모든 증례 사진은 의료법 제23조, 제 56조에 의거하여,
당사자의 동의하에 게시하였습니다.
*치료 사진은 모두 본원에서 치료한 환자분의 사진입니다.
*치료 사진은 모두 동일인의 사진이며,
동일조건에서 촬영하였습니다.
*개인의 차이에 따라 시술 및 수술 후 부작용이 발생할 수 있으며,
의료진과 충분한 상담을 받으시기 바랍니다.