남가좌동치과 과거에 치료한 곳이 마음에 들지 않아요

사람을 처음 만날 때 첫인상을
결정짓는 여러 요인이 있죠.
그 중에서도 치아 배열이 고르지 않거나
치아 사이의 간격이 넓다면,
이는 상대방에게 좋지 못한
인상을 줄 수 있는데요.
물론 외모만으로 사람을
평가하는 것은 옳지 않지만,
치아의 미적 문제가 있는 경우
심리적으로 위축되거나 콤플렉스를 느껴
사회생활에 어려움을 겪을 수 있어요.
이러한 이유로 심미적인 문제를
해결하기 위해 치과를 찾는 사람들이
점점 많아지고 있답니다.
앞니치료에는 방법에는 여러 가지가 있어요.
치료 범위나 위치, 치아의 배열 등에 따라
레진, 크라운, 라미네이트 등
다양한 치료 방식이 적용되며,
그중에서도 가장 많이 사용되면서
간단하게 치료할 수 있는 방법은 레진이에요.
레진 치료는 다른 치료법에 비해
방법이 간단하고 비용이 비교적 저렴하며,
당일에 마무리할 수 있어요.
또한, 자연 치아와 거의 동일한
외관을 구현할 수 있답니다.
오늘은 남가좌동치과 본 원에서 레진을 이용해 앞니치료를
받은 사례를 소개해 드리도록 할게요.🧐

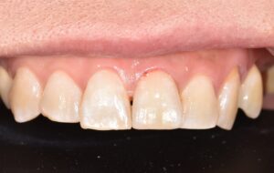
위 환자분은 과거 앞니가 벌어져
레진으로 떼워둔 곳이 어두워지고
잇몸이 자주 부어 다시 레진으로
치료를 진행하고자 본 원에 내원해 주셨어요.
앞니 사이를 떼운 것 뿐만 아니라
치아의 각도도 좋지 않았는데요.
이로 인해 치아가 살짝
뻐드렁니처럼 보이고 있었어요.😞
이렇게 소수의 치아가 문제인 경우
보통 보철치료를 통해 심미적인 회복을 하게 되지만
환자분께서는 시간도 없으셨고
레진으로 간단히 치료를 원하셨어요.
치료를 위해 기존 레진 수복물을 제거하고,
치아가 뻐드러져 보이지 않도록 치아
위쪽 면과 치아 사이를 함께
레진으로 수복해 주었어요.
또한 길이가 짧은 부분도
레진으로 길이를 연장해주었으며,
이전 레진 수복물과 달리
치아 사이 공간을 채우지 않고
잇몸이 붓지 않도록 제작해 주었어요.

치료 마무리 후 사진이에요.
마치 크라운으로 수복한 것처럼
자연스럽죠?👍
뻐드러져 보이던 치아도 가지런해졌고
자연치아와 유사하게
치료가 된 모습을 보실 수 있어요.
환자분께서는 치료 후 거울을 보시곤
깜짝 놀라시며, 이 정도까지 마음에 들도록
치료될 줄 몰랐다며 매우 만족해 하셨어요.
앞니치료 후에는 착색이 되기 쉬운
커피나 카레, 와인 등은 피해주는 것이 좋고
앞니로 단단한 음식을 베어먹지 않도록
주의해 주셔야 해요.
이외에도 담배는 치아 착색의 주요 원인 중
하나이므로 레진 치료 후에는 금연하는 것이 좋아요.
앞니 레진치료는 심미적이며,
간단하여 치료를 원하시는 분들이 많지만
치아의 위치나 교합 습관에 따라
치료가 어려운 경우도 있으며,
다른 치료 방법에 비해
앞니를 사용하여 저작할 경우 파절되거나
탈락될 위험성도 크기 때문에
치료 전 정확하게 케이스 선별하는 것이 중요해요.❗
또한 앞니와 같은 부위의 심미적 치료는
의료진의 경험과 감각도 중요해요.👨⚕️
치아의 형태와 잇몸 라인을 고려하여
정교하게 다듬어야 하며,
전체적으로 이질감이 없도록
형태를 만들어 주어야 해요.

남가좌동치과 본 원에서는 다양한 치료 경험을 가지고 계신
보건복지부인증 치 과보철과 전문의,
보건복지부인증 통합치의학과 전문의
더블보드 대표 원장님께서
최대한 치아를 삭제하지 않고 자연 치아를 보존하며,
직접 앞니치료를 진행하고 계시므로
걱정 없이 내원하실 수 있어요👍
올바른 관리와 정기적인 검진을
통해 레진이 탈락하지
않도록 관리해 주시길 바래요. 🤗